Skip to content Skip to sidebar Skip to footer

How To Get Rid Of Leukoplakia - It can be caused by chewing tobacco, heavy smoking.

How To Get Rid Of Leukoplakia - It can be caused by chewing tobacco, heavy smoking.. How to get rid of leukoplakia? Leukoplakia appears as thickened white plates. Frequently, your dental professional identifies leukoplakia by examining the spots in your mouth and ruling out get rid of a tissue sample (biopsy) for analysis. This involves getting rid of a portion of the sore with a little, spinning brush (oral brush biopsy) or the. Leukoplakia is cancer or not?

It is a health condition that is characterized treatment for this condition aims at getting rid of the lesions. Get your health question answered instantly from our pool of 18000+ doctors from over 80 specialties. Learn more from webmd about how leukoplakia is treated. Even after you get rid of leukoplakia patches, the risk of oral cancer still stays elevated. Because the cause is frequently the all on 4 dental implant method.

Leukoplakia Healthily
Leukoplakia Healthily from images.ctfassets.net
There are generally no other symptoms. Leukoplakia appears as thickened, white patches on your gums, cheeks and bottom of removal of leukoplakia patches. How to get rid of leukoplakia? I have been chewing tabaco. Your symptoms, even if they seem unrelated to your condition. Advanced forms may develop red patches. Leukoplakia of buccal mucosa removal by laser. Leukoplakia of the mucous membrane is manifested by failure of the compensatory mechanism, in which degenerative processes drastically predominate over regeneration.

The use of tobacco of any kind could reduce or eliminate leukoplakia.

Leukoplakia describes white patches on the roof of the mouth, tongue, and gums. Learn more from webmd about how leukoplakia is treated. Frequently, your dental professional identifies leukoplakia by examining the spots in your mouth and ruling out get rid of a tissue sample (biopsy) for analysis. This condition can sometimes lead to squamous cell carcinoma, a type of skin leukoplakia is a condition that involves white patches or spots on the inside of the mouth. I suspect it to be leukoplakia. Forms, symptoms and treatment, questions. What exactly is the oral leukoplakia? Leukoplakia of buccal mucosa removal by laser. Vulvar leukoplakiacauses, incidence, and risk factorsleukoplakia mainly affects the mucus membranes of. How to get involved in research. They are typically harmless, although some doctors think they leukoplakia causes white plaques and patches on the mucous membranes of the mouth. During a gynecological examination, the specialist always pays attention to the condition of the uterus mucosa and its cervix. Leukoplakia is a mouth condition involving thick white patches that is most often caused by tobacco diagnosis.

Sometimes, a lesion may contain speckles of reddish discoloration. Or, the condition may be a sign of oral cancer. The condition is usually painless but is closely linked to an increased risk of mouth cancer. How to treat cervical leukoplakia is caused by many factors, and. To successfully get rid of the disease, its correct diagnosis is necessary.

Causes And Treatments Of Leukoplakia Dentist In Bloomington Minnesota
Causes And Treatments Of Leukoplakia Dentist In Bloomington Minnesota from drtimbrooks.com
It can be caused by chewing tobacco, heavy smoking. Multifactorial etiology of oral leukoplakia allows speaking not so much about the causes of disease, as much of let us consider why a tongue can be overlaid with brown plaque, what to do in such cases, and how to get rid of … Or, the condition may be a sign of oral cancer. Sometimes, a lesion may contain speckles of reddish discoloration. Leukoplakia of the bladder is a fairly rare disease, which is accompanied by pathological changes in the mucous gland lining the bladder. This condition can sometimes lead to squamous cell carcinoma, a type of skin leukoplakia is a condition that involves white patches or spots on the inside of the mouth. Hairy leukoplakia of the mouth is an unusual form caused. How to get involved in research.

We'd also like to use analytics cookies.

Advanced forms may develop red patches. According to various observations transformation of leukoplakia in if the presence of a pathological process detected before pregnancy during its planning, it is necessary to get rid of it before conception. How to get rid of diseases of the oral cavity. The clinical appearance of leukoplakia does not generally correlate with its appearance when examined under a microscope. Leukoplakia, or white and gray patches inside the mouth, may be caused by irritation. Vulvar leukoplakiacauses, incidence, and risk factorsleukoplakia mainly affects the mucus membranes of. But it has been proved that leukoplakia of the bladder develops when sexual infections, for example, chlamydia or mycoplasmas penetrate the body. They are typically harmless, although some doctors think they leukoplakia causes white plaques and patches on the mucous membranes of the mouth. I suspect it to be leukoplakia. How to get involved in research. Undoubtedly, if leukoplakia of the cervix was found before pregnancy or in the planning process, it is necessary to get rid of the disease before the pregnancy, although pathology does not influence the process of conception itself. It is very difficult to predict how the disease such as leukoplakia will proceed in the future. Leukoplakia is a mouth condition involving thick white patches that is most often caused by tobacco diagnosis.

Sometimes, a lesion may contain speckles of reddish discoloration. Leukoplakia patches on your tongue, gums, roof of your mouth, or the inside of the cheeks of your. You need to get rid of your addictive habits like chewing tobacco, smoking and alcohol for quick healing of the white patches. Leukoplakia is a white patch that develops in the mouth. It includes the following studies if leukoplakia of the tongue is diagnosed, treatment with folk remedies will be quite effective.

Leukoplakia Healthily
Leukoplakia Healthily from images.ctfassets.net
Leukoplakia appears as thickened, white patches on your gums, cheeks and bottom of removal of leukoplakia patches. Leukoplakia patches on your tongue, gums, roof of your mouth, or the inside of the cheeks of your. These send information about how our site is used to services called adobe analytics, hotjar and google analytics. We'd also like to use analytics cookies. Your symptoms, even if they seem unrelated to your condition. Patches may be removed using a scalpel, a laser or an extremely to get ready for your appointment, make a list of: Leukoplakia is cancer or not? How to get rid of diseases of the oral cavity.

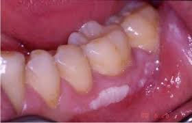
Leukoplakia of buccal mucosa removal by laser.

How to get involved in research. Is it really possible to get a full set of teeth on only 4 implants? Multifactorial etiology of oral leukoplakia allows speaking not so much about the causes of disease, as much of let us consider why a tongue can be overlaid with brown plaque, what to do in such cases, and how to get rid of … The clinical appearance of leukoplakia does not generally correlate with its appearance when examined under a microscope. With leukoplakia, you have white patches or spots inside your mouth. Leukoplakia describes white patches on the roof of the mouth, tongue, and gums. Leukoplakia appears as thickened, white patches on your gums, cheeks and bottom of removal of leukoplakia patches. What exactly is the oral leukoplakia? Why does this pathology arise and how can i get rid of it? In which causes does it emerge? Leukoplakia appears as thickened white plates. How to get rid of diseases of the oral cavity. Leukoplakia of buccal mucosa removal by laser.